Skip to main content

Region Subotica

Go Search
Home
Terenski rezultati
  

Portal Prognozno-izveštajne službe zaštite bilja > Region Subotica > Prilozi > Dozrelost i ispražnjenost pseudotecija Venturia inaequalis
Dozrelost i ispražnjenost pseudotecija Venturia inaequalis

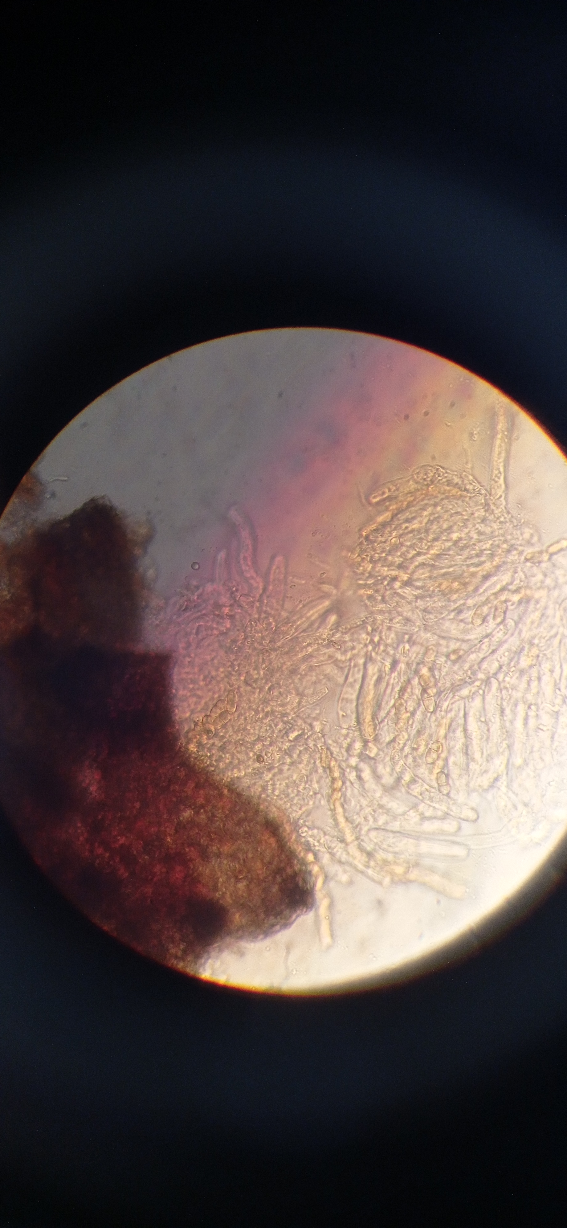
Na području delovanja RC Subotica, jabuke se u zavisnosti od sortimenta i lokaliteta nalaze u fenofazi od drugo opadanje plodova do prečnik ploda do 40 mm (BBCH 73-74).

Laboratorijskim pregledom pseudotecija prouzrokovača čađave pegavosti lišća i krastavosti plodova jabuke (Venturia inaequalis) sa prezimelog lišća jabuke sorte Zlatni Delišes, registrovana je dozrelost pseudotecija od 91,5 %, i ispražnjenost pseudotecija od 48%. Pregledano je 50 pseudotecija.

velika slika

RC Subotica nastavlja sa praćenjem dozrelosti i ispražnjenosti pseudotecija u narednom periodu.

Comments

There are no comments yet for this post.