Turn on more accessible mode
Skip to main content
Turn off more accessible mode
Portal Prognozno-izveštajne službe zaštite bilja
Sign In
|
Region Subotica
This Site
This List
Home
Terenski rezultati
Portal Prognozno-izveštajne službe zaštite bilja
>
Region Subotica
>
Fotografije
>
2024 jabuka
>
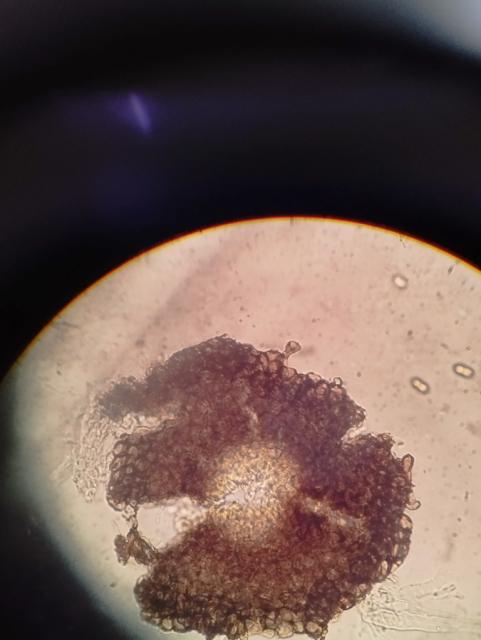
31.5.2024 Ispražnjena pseudotecija
Fotografije
: 31.5.2024 Ispražnjena pseudotecija
2024 jabuka
Name
31.5.2024 Ispražnjena pseudotecija
Preview
Title
pseudotecija
File Type
jpg
Picture Size
3072 x 4080
Date Picture Taken
30.5.2024 14:00
Description
pseudotecija
Keywords
pseudotecija venturia inaequalis,jabuka
Created at 31.5.2024 9:03 by RC Subotica
Last modified at 31.5.2024 9:04 by RC Subotica