Turn on more accessible mode
Skip to main content
Turn off more accessible mode
Portal Prognozno-izveštajne službe zaštite bilja
Sign In
|
Region Subotica
This Site
This List
Home
Terenski rezultati
Portal Prognozno-izveštajne službe zaštite bilja
>
Region Subotica
>
Fotografije
>
2024 jabuka
>
17.5.2024 pseudotecija
Fotografije
: 17.5.2024 pseudotecija
2024 jabuka
Name
17.5.2024 pseudotecija
Preview
Title
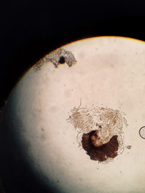
pseudotecija venturia inaequalis
File Type
jpg
Picture Size
3072 x 4080
Date Picture Taken
17.5.2024 10:00
Description
pseudotecija venturia inaequalis
Keywords
pseudotecija venturia inaequalis, jabuka
Created at 17.5.2024 10:11 by RC Subotica
Last modified at 17.5.2024 10:12 by RC Subotica