Turn on more accessible mode
Skip to main content
Turn off more accessible mode
Portal Prognozno-izveštajne službe zaštite bilja
Sign In
|
Region Subotica
This Site
This List
Home
Terenski rezultati
Portal Prognozno-izveštajne službe zaštite bilja
>
Region Subotica
>
Fotografije
>
2023 jabuka
>
21.2.2023 askospore
Fotografije
: 21.2.2023 askospore
2023 jabuka
Name
21.2.2023 askospore
Preview
Title
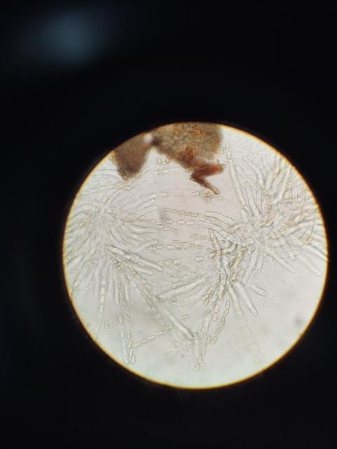
askospore
File Type
jpg
Picture Size
3072 x 4080
Date Picture Taken
21.2.2023 11:00
Description
askospore,jabuka
Keywords
askospore,jabuka
Created at 21.2.2023 12:50 by RC Subotica
Last modified at 21.2.2023 12:51 by RC Subotica